<dd id="rw0xn"></dd>

  • <label id="rw0xn"></label>

  • <sup id="rw0xn"><strike id="rw0xn"></strike></sup><label id="rw0xn"></label>
      <th id="rw0xn"></th>
    1. <var id="rw0xn"></var>
        1. <table id="rw0xn"></table>

          <sub id="rw0xn"><meter id="rw0xn"></meter></sub>

          A New Vision for Cancer Treatment: Image Guided Brachytherapy

          From the IAEA Bulletin

          Advances in technology have helped to pave the way for techniques like image guided brachytherapy (IGBT) that are leading to better outcomes and offering a better quality of life for patients.

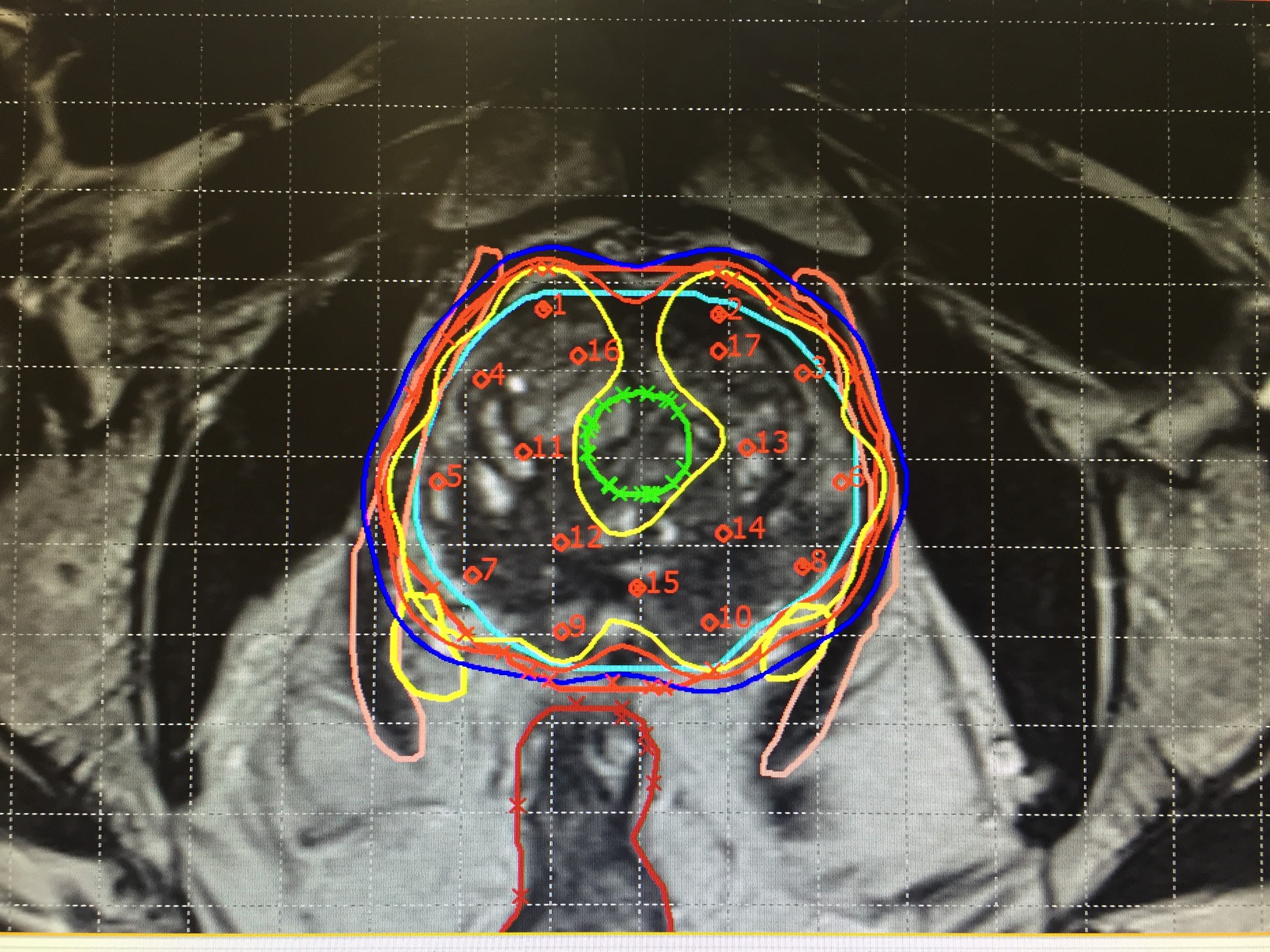
          Detailed medical images help health professionals distinguish between tumours, healthy tissue and organs to ensure radiation sources are correctly targeted. (Photo: Auna Oncosalud)

          Advances in technology have helped to pave the way for techniques like image guided brachytherapy (IGBT) that are leading to better outcomes and offering a better quality of life for patients. This will be one of the topics discussed further at the IAEA's Scientific Forum: A Decade of Action on Cancer Control and the Way Forward from 17 to 18 September.

          “IGBT is a highly personalized and fine-tuned method for treating cancer that can help improve survival rates in many types of cancer, while lowering the risk of complications,” said Gustavo Sarria Bardales, Medical Director of the Radiation Therapy Department at Auna Oncosalud hospital in Peru. “With the rise in cancer cases worldwide, the use of IGBT offers safe, effective and quality treatment against some prevalent cancers, such as breast, prostate and cervical cancers. Further developing and implementing this technology is a great opportunity to expand access for more patients and provide them with effective care.”

          While brachytherapy — a form of internal radiation treatment using radioactive sources — has been a common treatment for many cancers for more than 100 years, IGBT has only in the last 15 years been possible thanks to advances in medical imaging, treatment planning and dose delivery.

          IGBT is designed to maximize the radiation dose to kill cancer cells while minimizing the exposure of the surrounding healthy cells. It uses detailed 3D medical images to capture organ volume changes in order to tailor and optimize brachytherapy for patients’ needs. The images show the exact size and location of a tumour and relevant organs in order for the healthcare team to precisely plan and safely place radioactive sources directly next to or inside a tumour for treatment. This placement can either be temporary, using a removable applicator containing the sources, or permanent, using sources called seeds that remain indefinitely inside the body; over time, the seeds lose their radioactivity and become harmless.

          For certain cancer types, such as cervical cancer, IGBT is combined with external beam radiotherapy, while, for others, such as breast and prostate cancers, it can be used as an exclusive treatment. With IGBT, higher doses of radiation can be used for targeting a tumour directly, meaning healthy tissues receive a lower dose of radiation, as the sources are placed directly in or next to a tumour.

          However, placing the sources inside a patient’s body requires expertise in various disciplines, such as surgery, imaging and contouring, and treatment planning, explained Alfredo Polo Rubio, a radiation oncologist at the IAEA. “It is not a ‘one-size-fits-all’ procedure, since each patient’s body and each tumour is different, and brachytherapy is a kind of personalized treatment. Combining brachytherapy with imaging gives the healthcare team a clearer view of the tumour and the surrounding organs and facilitates the placement of the radiation sources, assessment of tumour response and more accurate adjustment of radiation doses.”

          igbt_-_scifo_bulletin_2019_-_face.jpg

          Brachytherapy involves placing radioactive sources inside or on the body, which can be done with tools such as wires, tubes or needles. (Photo: Auna Oncosalud)

          Although IGBT is considered cost-effective thanks to its high success rate, it remains costly. The technique requires expensive software and hardware to complete the personalized treatment plan, as well as a highly qualified team of specialists, from oncologists to dosimetrists and radiation therapists, and, in some cases, surgeons, to assist with the placement of applicators in the patient’s body.

          Many countries worldwide are working with the IAEA to develop their cancer treatment services and, when they are ready, to adopt innovative methods, such as IGBT. Through IAEA technical cooperation and coordinated research projects, experts receive training and equipment, as well as access to professional networks to boost their expertise. The IAEA has also produced guidelines and technical documents to support the implementation of IGBT and to guide professionals in the transition from simple to more complex techniques.

          Some countries, such as Peru, are now moving towards IGBT to help manage the growing burden of cancer.

          “Cancer is quickly becoming the first cause of death among Peruvians and is continuing to increase,” said Sarria Bardales. Around 66 000 people in Peru are diagnosed with cancer each year. “The health system is not prepared for such an epidemiological transition, so new solutions like IGBT need to be adopted.”

          Peru has worked with the IAEA for more than 30 years to build up its cancer care services. In the last five years, this collaboration has included building Peru’s human resources capacity in IGBT and connecting Peruvian professionals with international networks and experts in this particular area.

          “We used to be limited to conventional 2D and 3D brachytherapy. Now we have begun using IGBT and are waiting to see the full impact of its use,” Sarria Bardales said. “We expect that, in the next decade, IGBT will become a more standard treatment for cancer patients, as it’s a more personalized approach and has a higher rate of success, making it a more cost-effective and adequate treatment method for various types of cancer.”

          <dd id="rw0xn"></dd>

        2. <label id="rw0xn"></label>

        3. <sup id="rw0xn"><strike id="rw0xn"></strike></sup><label id="rw0xn"></label>
            <th id="rw0xn"></th>
          1. <var id="rw0xn"></var>
              1. <table id="rw0xn"></table>

                <sub id="rw0xn"><meter id="rw0xn"></meter></sub>
                97碰成人国产免费公开视频