<dd id="rw0xn"></dd>

  • <label id="rw0xn"></label>

  • <sup id="rw0xn"><strike id="rw0xn"></strike></sup><label id="rw0xn"></label>
      <th id="rw0xn"></th>
    1. <var id="rw0xn"></var>
        1. <table id="rw0xn"></table>

          <sub id="rw0xn"><meter id="rw0xn"></meter></sub>

          IAEA Project Supports Safer Cancer Surgeries for Women

          New Coordinated Research Project

          Vulvar and cervical cancers affect thousands of women each year, particularly in low and middle-income countries.

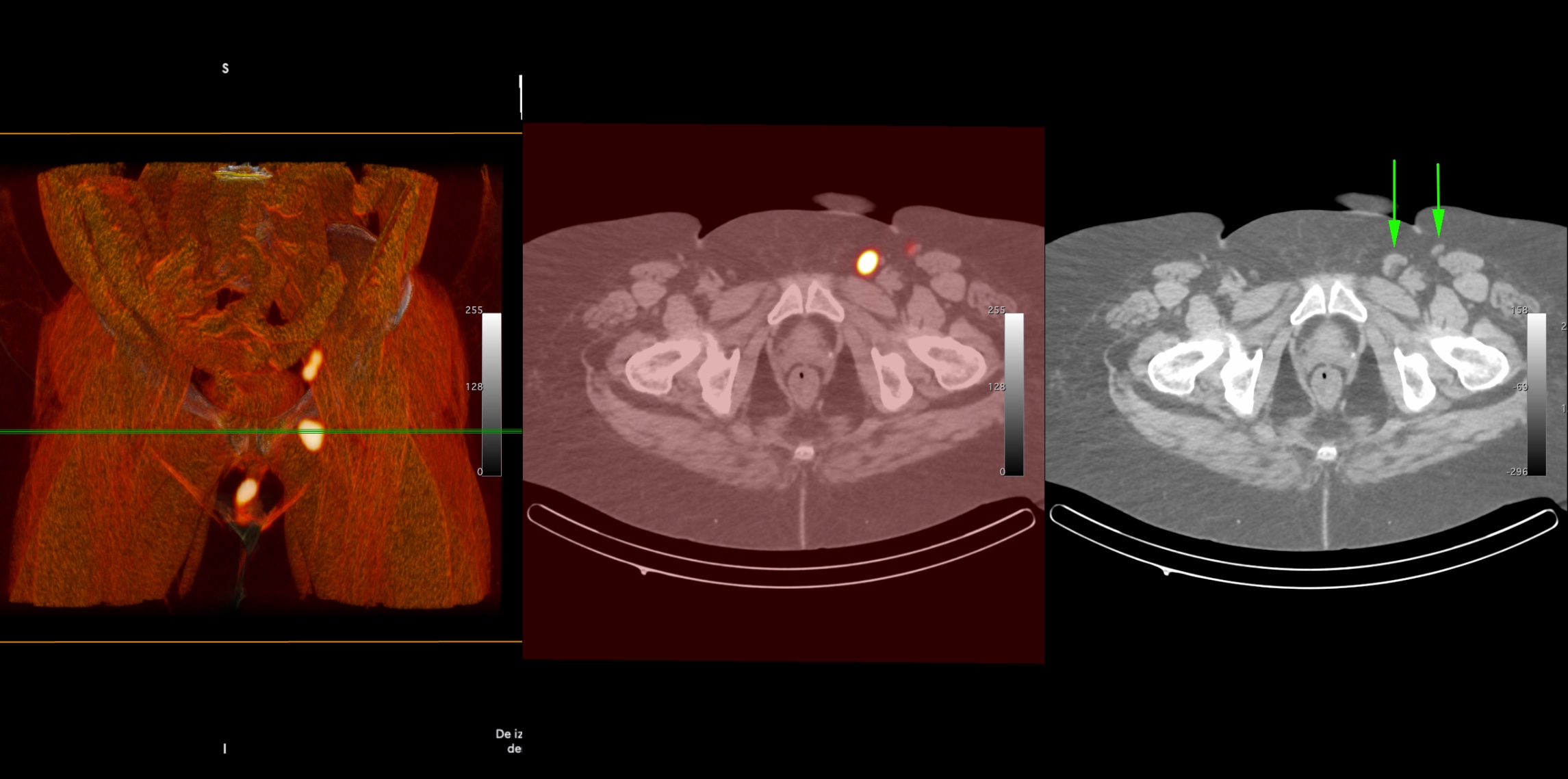
          Imaging of a patient with vulvar cancer showing two sentinel lymph nodes in the left inguinal region (green arrows), the injection site, and secondary lymph nodes in the left iliac region. (Photo: S. Vidal)

          Vulvar and cervical cancers affect thousands of women each year, particularly in low and middle-income countries. In 2022, the World Health Organization estimated that about 94% of the deaths caused by cervical cancer occurred in low and middle-income countries, while overall, the highest rates of cervical cancer incidence and mortality are in sub-Saharan Africa, Central America and South-East Asia. 

          One of the greatest challenges for doctors is knowing whether cancer has spread to the lymph nodes. If so, patients face a higher risk of the cancer coming back and lower survival rates. 

          Usually, during an operation, doctors remove several lymph nodes to check if the cancer has spread. This extensive surgery can lead to severe side effects such as infections, nerve damage or chronic swelling known as lymphoedema.  

          However, a less invasive technique called sentinel node biopsy (SNB) is providing hope. An IAEA-supported project is helping to harmonize the SNB technique, which enables doctors to find and remove only the first lymph node where cancer is likely to have spread (known as the sentinel node), thereby allowing patients to avoid unnecessary surgery.  

          Studies show that SNB leads to fewer complications after surgery, while still accurately detecting cancer.  

          “Sentinel node biopsy is a game-changer in cancer surgery. It minimizes harm while still providing the information needed to guide treatment,” said Diana Paez, Head of the Nuclear Medicine and Diagnostic Imaging Section at the IAEA.

          Addressing the Cancer Care Gap

          Despite the benefits of SNB, the technique is not yet used consistently around the world. Differences in equipment, training and protocols have created large variations in how SNB is performed, particularly in low and middle-income countries where resources are scarce. To help address this gap, the IAEA is supporting efforts to harmonize SNB procedures globally with a new coordinated research project (CRP) (E13051), known as the SIGMA trial.  

          The project aims to ensure that all women, regardless of where they live, can benefit from safer cancer surgeries. The IAEA is working closely with international experts to support countries in adopting radio-guided SNB, a method that uses small amounts of radioactive tracers to locate the sentinel node. Technetium-99m, one of the most widely used tracers, is known for its effectiveness and safety. 

          Harmonizing Procedures for Better Outcomes

          The IAEA is working with health professionals to standardize the performance of SNB worldwide, ensuring better patient outcomes.  

          “Harmonizing sentinel node procedures means improving access to safer cancer treatment for women everywhere,” said Paez. “By supporting training and sharing best practices, the IAEA is helping countries adopt these life-saving techniques and ensure that women receive the best possible care. This contributes to global efforts to reduce cancer mortality and improve quality of life.” 

          SNB for Vulvar and Cervical Cancers

          Vulvar cancer is becoming more common, especially in developing countries and early diagnosis is essential to improving survival rates. In around one-third of cases, the cancer has already spread to the lymph nodes at the time of detection. Cervical cancer remains the fourth most common cancer among women globally and most cases occur in countries where screening and treatment is limited.  

          “Current clinical guidelines recommend sentinel node biopsy for early-stage vulvar and cervical cancers, where the chance of lymph node involvement is low,” said Patrice Mathevet, head surgeon at Lausanne University Hospital’s Gynaecology Department in Switzerland. “This approach avoids the need to remove all lymph nodes, while still allowing doctors to detect microscopic spread of cancer.”  

          A Step Forward for Women’s Health

          Improving access to SNB could significantly reduce the risks women face during cancer surgery. As part of its mission to expand access to nuclear medicine, the IAEA will continue to support countries in adopting safe, effective and patient-centred cancer care.

          CRP Overall Objectives

          This CRP aims to improve cancer care for women with vulvar and cervical cancers by evaluating and harmonizing the use of SNB, a less invasive surgical technique that helps doctors check if the cancer has spread. This effort is part of a broader commitment to reduce cancer deaths and improve the quality of life for women worldwide. 

          The CRP will also: 

          • Assess how well SNB works in different hospitals around the world, including in low, middle, and high-income countries. 

          • Promote standardized procedures to ensure patients everywhere receive the safest and most effective care. 

          • Compare different medical imaging techniques to see which provides the clearest results. 

          • Check for possible side effects or complications from the procedure. 

          • Monitor patient outcomes over time, including survival rates and cancer recurrence. 

          • Study the costs of the procedure to help make it accessible and sustainable globally. 

          How to join the CRP

          Research organizations interested in joining the CRP must submit their Proposals for Research Contract or Agreement by email, no later than 31 December 2025, to the IAEA’s?Research Contracts Administration Section using the appropriate template on the?Coordinated Research Activities web site. The same template can be used for both research contracts and technical contracts.?

          ?The IAEA encourages research organizations to involve, to the extent possible, women and young researchers in their proposals. Collaborations between research organizations and local mining companies will be an advantage.?

          ?Further information related to this CRP can be found?here.?

          Related resources

          <dd id="rw0xn"></dd>

        2. <label id="rw0xn"></label>

        3. <sup id="rw0xn"><strike id="rw0xn"></strike></sup><label id="rw0xn"></label>
            <th id="rw0xn"></th>
          1. <var id="rw0xn"></var>
              1. <table id="rw0xn"></table>

                <sub id="rw0xn"><meter id="rw0xn"></meter></sub>
                97碰成人国产免费公开视频