<dd id="rw0xn"></dd>

  • <label id="rw0xn"></label>

  • <sup id="rw0xn"><strike id="rw0xn"></strike></sup><label id="rw0xn"></label>
      <th id="rw0xn"></th>
    1. <var id="rw0xn"></var>
        1. <table id="rw0xn"></table>

          <sub id="rw0xn"><meter id="rw0xn"></meter></sub>

          El comienzo de una nueva era: la radioterapia destruye más células cancerosas que nunca

          Artículo del Boletín del OIEA

          La radiación revolucionó la medicina en 1901, cuando se utilizó por primera vez para tratar el cáncer. Sin embargo, su uso ha evolucionado únicamente hasta donde ha permitido la innovación técnica.

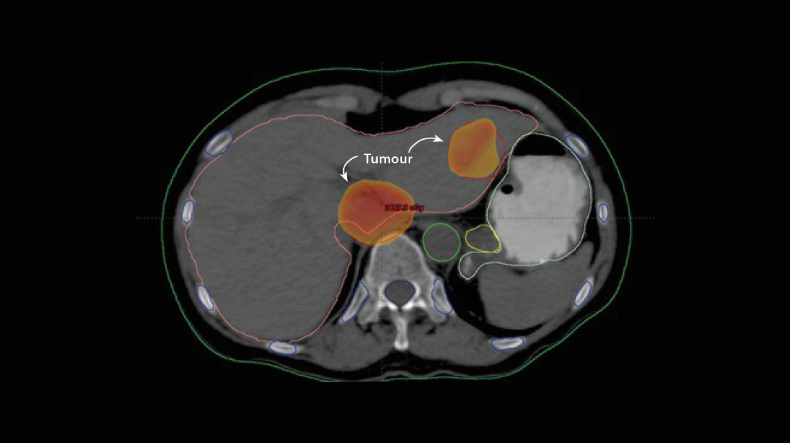
          Imagen de un cáncer hepático que se tratará mediante un método avanzado de radioterapia denominado radioterapia estereotáctica corporal.(Fotografía: Instituto Nacional del Cáncer, Egipto)

          La radiación revolucionó la medicina en 1901, cuando se utilizó por primera vez para tratar el cáncer. Sin embargo, su uso ha evolucionado únicamente hasta donde ha permitido la innovación técnica. Hoy en día, gracias a los avances en física, tecnología e informática, la radioterapia se adentra en una nueva era de precisión, eficacia y seguridad, y el OIEA está contribuyendo a que los avances en este ámbito lleguen a los pacientes de todo el mundo.

          “Estos avances pueden mejorar la calidad de vida del paciente durante el tratamiento y, en el caso de muchos tipos de cáncer, mejorar también la delimitación y focalización del tumor, reducir las recaídas y aumentar las tasas de supervivencia”, explica May Abdel-Wahab, Directora de la División de Salud Humana del OIEA. “Además, algunas de estas nuevas técnicas, como la radioterapia estereotáctica corporal (SBRT), pueden complementar otros tratamientos nuevos de inmunoterapia al potenciar la inmunogenia del cáncer”.

          Cada a?o se diagnostica cáncer a más de 14 millones de personas en todo el mundo. Alrededor de la mitad de los pacientes de cáncer reciben radioterapia en algún momento del tratamiento (véase el recuadro “Base científica”), y esta suele combinarse con otros métodos, como el tratamiento quirúrgico y la quimioterapia.

          Muchos países en desarrollo tienen dificultades para mantenerse al día de cómo evolucionan la tecnología y los métodos. Gracias al apoyo del OIEA, países de todo el mundo implantan la radioterapia, reciben capacitación al respecto y realizan una transición segura hacia técnicas avanzadas. “El OIEA trabaja mucho para ayudar a los países a proporcionar servicios de radioterapia de gran calidad, de modo que todos los pacientes puedan acceder a estos instrumentos y métodos cruciales para la vida, y beneficiarse de ellos”, se?ala la Sra. Abdel-Wahab.

          Finalidad de la radioterapia

          La radioterapia tiene por finalidad aumentar al máximo de forma segura la eficacia del tratamiento de un tumor mediante el uso de la radiación y, al mismo tiempo, reducir al mínimo los da?os a los tejidos sanos y órganos críticos circundantes del paciente. Con tal objeto, los especialistas deben, en primer lugar, evaluar meticulosamente el tumor y planificar el tratamiento valiéndose del diagnóstico por la imagen y de instrumentos de planificación. A continuación, utilizarán el haz de radiación de un aparato de radioterapia para aplicar al tumor, en condiciones de seguridad, una dosis de radiación cuidadosamente medida.

          A mayor dosis de radiación, mayor destrucción de células cancerosas, pero también mayor riesgo para los tejidos sanos circundantes. “De ahí que la precisión en la delimitación del tumor y la aplicación de dosis exactas de radiación sean fundamentales para la seguridad y la eficacia de la radioterapia”, explica la Sra. Abdel-Wahab. “Muchos de los avances que vemos en radioterapia giran en torno a la mejora y el perfeccionamiento de esos dos elementos”.

          Planes más exactos contra el cáncer

          Los avances en la imagenología y la planificación del tratamiento, por ejemplo, han hecho posible que los radioncólogos pasen de utilizar técnicas de radioterapia bidimensionales a técnicas tridimensionales que comprenden la obtención de imágenes pertinentes y la posterior delimitación del contorno (un proceso que consiste en tomar imágenes de un tumor y evaluarlo para definir dónde acaba este y dónde comienza el tejido sano). El auge de los instrumentos de planificación automatizados contribuye también a que los especialistas en radioncología aprovechen la potencia informática para localizar los tumores y planificar la cantidad exacta de radiación que se ha de aplicar en cada parte del tumor y desde qué ángulos.

          No obstante, la precisión del tratamiento está limitada por la calidad de las imágenes de diagnóstico y la capacidad del aparato de radioterapia. Antes, las imágenes de diagnóstico eran menos detalladas y la capacidad de la tecnología de radioterapia, más limitada. En consecuencia, los especialistas se veían obligados a administrar dosis de radiación más bajas en un mayor número de sesiones para preservar la seguridad de los pacientes y, en algunos casos, el estado del paciente los llevaba a descartar por completo la radioterapia como opción de tratamiento.

          Esto ha cambiado con la aparición de instrumentos y procedimientos como la braquiterapia tridimensional y la radioterapia guiada por imágenes, que emplean imágenes detalladas para guiar y ajustar la radiación de manera dinámica durante el tratamiento. Por su parte, la SBRT ha hecho que sea posible administrar un tratamiento de gran precisión que consiste en radiar desde múltiples ángulos y en el que pueden aplicarse dosis mucho más altas en períodos de tratamiento más breves.

          Tumores: rodea y vencerás

          La SBRT ha llevado el control y la precisión a otro nivel. La singularidad de esta técnica reside en el uso de imágenes cuatridimensionales (altura, anchura, profundidad y, en algunos casos, movimiento) para planificar y administrar la radiación que se aplica a un tumor desde distintos ángulos mediante haces muy precisos. Cada haz por separado tiene dosis de radiación más bajas, siendo así más seguro y reduciéndose el riesgo de efectos secundarios en los tejidos sanos que se encuentran en su trayectoria pero, cuando estos convergen en el tumor, exponen las células cancerosas a una dosis de radiación combinada más alta. Así pues, por lo general, se necesitan menos sesiones para tratar a un paciente de manera eficaz.

          “En el caso de algunos tipos de cáncer que son inoperables o que no pueden tratarse eficazmente con la radioterapia tradicional, la SBRT supone una nueva oportunidad de seguir con vida”, afirma Tarek Shouman, Jefe de Radioncología en el Instituto Nacional del Cáncer (NCI) de Egipto, centro que colabora con el OIEA desde hace más de 20 a?os.

          El Sr. Shouman y el equipo del NCI ya utilizan la SBRT, en parte gracias al apoyo del OIEA, para tratar el cáncer de pulmón en fase inicial y el cáncer recurrente de cabeza y cuello, así como el carcinoma hepatocelular (CHC), el tipo de cáncer hepático más común en varones en Egipto.

          La SBRT ha mejorado drásticamente las opciones de radioterapia en los casos de cáncer hepático como el CHC, según explica el Sr. Shouman. Actualmente, el cáncer hepático es la tercera causa más frecuente de muerte por cáncer a nivel mundial. Durante a?os, la radioterapia tradicional no fue eficaz para tratar este tipo de cáncer, ya que no era posible administrar en condiciones de seguridad dosis de radiación lo suficientemente elevadas a un tumor hepático por los riesgos que ello comporta para el tejido sano circundante. Con la SBRT hasta los peque?os tumores hepáticos pueden tratarse con dosis más altas de radiación sin da?ar el tejido sano.

          Diversos estudios han demostrado que con la SBRT se reduce el número de tratamientos en el caso del CHC y también de otros tipos de cáncer, como los de cerebro, pulmón, cabeza y cuello, oscilando el número de tratamientos entre 1 y 5 en vez de 30-35. En un tratamiento de 2 a?os de duración, el grado de efectividad de la SBRT varía entre el 80 % y el 90 % en determinados tipos de cáncer. Son cifras similares a las de la extirpación quirúrgica de un tumor, pero con menos riesgos.

          “La SBRT no es más que un nuevo método de radioterapia en un ámbito en rápida evolución. Nuestra intención es seguir trabajando estrechamente con el OIEA de modo que podamos mantenernos a la vanguardia, y también ampliar la colaboración y el apoyo prestado a otros países”, afirma el Sr. Shouman. 

          <dd id="rw0xn"></dd>

        2. <label id="rw0xn"></label>

        3. <sup id="rw0xn"><strike id="rw0xn"></strike></sup><label id="rw0xn"></label>
            <th id="rw0xn"></th>
          1. <var id="rw0xn"></var>
              1. <table id="rw0xn"></table>

                <sub id="rw0xn"><meter id="rw0xn"></meter></sub>
                97碰成人国产免费公开视频